Publications
 
 								
				
					  						
                          
							 
					  
                            A comprehensive dataset of annotated brain metastasis MR images with clinical and radiomic data                       
                          
						 
                     
	
                    
						 
                       
				 
             
                            Ocaña-Tienda B, Pérez-Beteta J, Villanueva JD, Romero JA, Molina D, Suter Y, Asenjo B, Albillo D, Ortiz A, Pérez-Romasanta LA, González E, Llorente M, Carballo N, Nagib F, Vidal M, Luque B, Reyes M, Arana E, Pérez-García VM                     
                                  
                     
					 
                            Scientific Data 10, 208 (2023)					 
				 
 								
				
					  						
                          
							 
					  
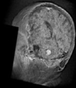
                            Growth dynamics of brain metastases differentiate radiation necrosis from recurrence                       
                          
						 
                     
	
                    
						 
                       
				 
             
                            B. Ocaña-Tienda, J. Pérez-Beteta, D. Molina-García, B. Asenjo, A. Ortiz de Mendivil, D. Albillo, LA Pérez-Romasanta, E. González del Portillo, M. Llorente, N. Carballo, E. Arana, Víctor M Pérez-García                     
                                  
                     
					 
                            Neurooncology Advances 5(1), vdac179 (2023)					 
				 
 								
				
					  						
                          
							 
					  
                            Growth exponents reflect evolutionary processes and treatment response in brain metastases                       
                          
						 
                     
	
                    
						 
                       
				 
             
                            B. Ocaña-Tienda, J. Pérez-Beteta, D. Molina-García, J. Jiménez-Sánchez, O. Leon-Triana, A. Ortiz de Mendivil, B. Asenjo, D. Albillo, L. Pérez-Romasanta, M. Valiente, L. Zhu, P. García- Gómez, E. González-Del Portillo, M. Llorente, N. Carballo, E. Arana, V. M. Pérez-García                     
                                  
                     
					 
                            npj Systems Biology and Applications 9, 35 (2023)					 
				 
 								
				
					  						
                          
							 
					  
                            Mathematical Modeling of Leukemia Chemotherapy in Bone Marrow                       
                          
						 
                     
	
                    
						 
                       
				 
             
                            Ana Niño-López, Salvador Chulián, Álvaro Martínez-Rubio, Cristina Blázquez-Goñi, María Rosa                     
                                  
                     
					 
                            Mathematical Modelling of Natural Phenomena 18, 21 (2023)					 
				 
 								
				
					  						
                          
							 
					  
                            Mean first-passage time of cell migration in confined domains                       
                          
						 
                     
	
                    
						 
                       
				 
             
                            H. Serrano, R.F. Álvarez-Estrada, G.F. Calvo                     
                                  
                     
					 
                             Mathematical Methods in the Applied Sciences 46, 7435-7453 (2023)					 
				 
 								
				
					  						
                          
							 
					  
                            Metabolic Activity Grows in Human Cancers Pushed by Phenotypic Variability                       
                          
						 
                     
	
                    
						 
                       
				 
             
                             J.J. Bosque, G.F. Calvo, D. Molina-García, J. Pérez-Beteta, A.M. García Vicente, V. M. Pérez-García                     
                                  
                     
					 
                            iScience 26(3) 106118 (2023)					 
				 
 								
				
					  						
                          
							 
					  
                            On the Analysis of a Mathematical Model of CAR-T Cell Therapy for Glioblastoma: Insights from a Mathematical Model                       
                          
						 
                     
	
                    
						 
                       
				 
             
                            Bodnar, M ; Forys, U ; Piotrowska, MJ ; Bodzioch, M ; Romero-Rosales, JA; Belmonte-Beitia, J                     
                                  
                     
					 
                            International Journal of Applied Mathematics and Computer Science 33(3), 379-394 (2023)					 
				 
 								
				
					  						
                          
							 
					  
                            Overcoming chemotherapy resistance in low-grade gliomas: A computational approach                       
                          
						 
                     
	
                    
						 
                       
				 
             
                            Delobel T, Ayala-Hernández LE, Bosque JJ, Pérez-Beteta J, Chulián S, García-Ferrer M, Piñero P, Schucht P, Murek M, Pérez-García VM                     
                                  
                     
					 
                             PLoS Computational Biology 19(11): e1011208 (2023)					 
				 
 								
				
					  						
                          
							 
					  
                            Stochastic Fluctuations Drive Non-genetic Evolution of Proliferation in Clonal Cancer Cell Populations                       
                          
						 
                     
	
                    
						 
                       
				 
             
                            C Ortega-Sabater, GF Calvo, Jelena Dinic, Ana Podolski, Milica Pesic, VM Perez-Garcia                     
                                  
                     
					 
                            Bulletin of Mathematical Biology 85(1) 8 (2023)					 
				 
 								
				
					  						
                          
							 
					  
                            The local microenvironment drives activation of neutrophils in human brain tumors                       
                          
						 
                     
	
                    
						 
                       
				 
             
                            Maas RR, Soukup K, Fournier N, Massara M, Galland S, Kornete M, Wischnewski V, Lourenco J, Croci D, Álvarez-Prado ÁF, Marie DN, Lilja J, Marcone R, Calvo GF, Santalla Mendez R, Aubel P, Bejarano L, Wirapati P, Ballesteros I, Hidalgo A, Hottinger AF, Brouland JP, Daniel RT, Hegi ME, Joyce JA                     
                                  
                     
					 
                            Cell 186, 1-21 (2023)					 
				 
 								
				
					  						
                          
							 
					  
                            The shape of cancer relapse: Topological data analysis predicts recurrence in paediatric acute lymphoblastic leukaemia                       
                          
						 
                     
	
                    
						 
                       
				 
             
                            S. Chulián,  B. J. Stolz, A. Martínez-Rubio, C. Blázquez-Goñi, J. F. Rodríguez, T. Caballero, A. Molinos, M. Ramírez-Orellana, A. Castillo, J. L. Fuster, A. Minguela, M. V. Martínez, M. Rosa, V. M. Pérez-García, H. Byrne                     
                                  
                     
					 
                            PLOS Computational Biology 19(8) e1011329 (2023)					 
				 
 								
				
					  						
                          
							 
					  
                            Breaking Down Cell-Free DNA Fragmentation: A Markov Model Approach                       
                          
						 
                     
	
                    
						 
                       
				 
             
                            Terence H.L. Tsui, Phil F. Xie, Salvador Chulián, Víctor M. Pérez-García                     
                                  
                     
					 
                            biorxiv (doi:10.1101/2023.07.06.547953)					 
				 
								 
								 
								 
								 
								 
											 
								 
								 
								 
								 
								 
								 
								 
								