Publication
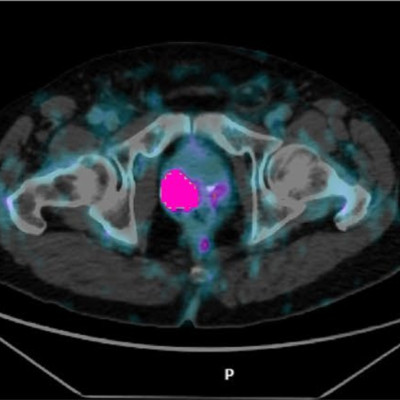
Analytical performance validation of aPROMISE platform for prostate tumor burden
                                   
                García Vicente, A.M., Lucas Lucas, C., Pérez-Beteta, J. et al. 
     
                    Scientific Reports 14, 3001 (2024)
                MOLAB authors
                    
                                 
								 
								 
 
						 
								 
								 
								 
											 
								 
								 
								 
								 
								 
								 
								 
								